入れ歯(義歯)|南あわじの歯医者なら太田歯科・矯正歯科

一般歯科診療 日・祝
9:00~11:30
14:00~18:00

矯正歯科診療 日・祝
9:00~11:30
15:30~18:00
【診察受付時間】9:00~11:30、14:00~18:00 ★土曜午後は14:00~16:30 【休診日】木・日・祝祭日(他、学会などで休診になる場合があります)

〒656-0511
兵庫県南あわじ市賀集八幡南79-1

tel. 0799-52-4182
  • 地図
  • メニュー

入れ歯(義歯)とは

兵庫県南あわじ市・医療法人 太田歯科・矯正歯科

入れ歯は、失った歯の機能を、取り外し可能な人工歯で補う治療法の一つです。歯を失ったままにしておくと、「噛む」「話す」ことが難しくなり、日常生活に支障をきたすことがあります。
快適な毎日をお過ごしいただけるように、当院では時間をかけて患者さんお一人お一人のお口に合わせてしっかり調整した入れ歯をご提供しています。新しい入れ歯を作りたい方はもちろん、使用している義歯にお困りの方は、どうぞお気軽にご相談ください。

入れ歯(義歯)の必要性

  • 兵庫県南あわじ市・医療法人 太田歯科・矯正歯科

    噛む力の回復

    歯を失ったままにしていると、食べ物をしっかり噛むことが難しくなり、消化機能や栄養バランスへの影響が生じる可能性があります。入れ歯で失った歯を補い、咀嚼機能を回復させましょう。

  • 兵庫県南あわじ市・医療法人 太田歯科・矯正歯科

    発音の改善

    歯を失ってしまった部分から空気が抜けてしまい、発音がうまくできないことがあります。特に前歯は発音に大きな影響を与えます。入れ歯で歯がそろった状態にすると、従来の発音を取り戻すのに役立ちます。

  • 兵庫県南あわじ市・医療法人 太田歯科・矯正歯科

    見た目の改善

    歯が無くなると見た目にも影響が生じ、思いきり笑えなくなったり、人との会話を避けたりする方がいらっしゃいます。入れ歯は見た目を改善できることはもちろん、自信を回復することにもつながります。

入れ歯(義歯)の種類

兵庫県南あわじ市・医療法人 太田歯科・矯正歯科

レジン床義歯保険適用

歯科用のレジン(プラスチック)で土台(床)を作製します。保険診療にあたるため、治療費を抑えることができ、あらゆる症例に対応可能です。
一方で、強度を確保するためにはプラスチックの一定の厚みが必要なので、違和感が生じることがあります。また、部分入れ歯では金具が見えやすいといったデメリットもあります。

兵庫県南あわじ市・医療法人 太田歯科・矯正歯科

金属床義歯保険適用外

金属で土台(床)を作ると装着時の違和感が少なく、温度が伝わりやすいので、食事を楽しみたい方におすすめです。また、耐久性と快適性に優れていることも特徴です。保険適用外では金属アレルギーの少ない金、チタンなどの金属が使用できます。

兵庫県南あわじ市・医療法人 太田歯科・矯正歯科

ノンクラスプデンチャー保険適用外

歯ぐきに近い色をした樹脂素材で作られており、薄さと軽さを兼ね備えているため、装着時の違和感が少ないことが特徴です。また、金属のバネを使用していないので、保険診療の入れ歯より目立ちにくく、金属アレルギーの心配もありません。

※症例によっては適用できない場合があります。

兵庫県南あわじ市・医療法人 太田歯科・矯正歯科 兵庫県南あわじ市・医療法人 太田歯科・矯正歯科

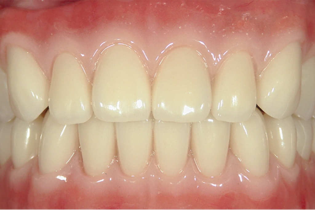
審美加工義歯保険適用外

保険の義歯では既製の人工歯や樹脂を使用するため、見た目が気になる場合があります。
審美加工義歯では、専用の人工歯や樹脂を使用することで、より自然な口元を再現することができ、本来の笑顔につなげることができます。

作製の流れ

カウンセリング

兵庫県南あわじ市・医療法人 太田歯科・矯正歯科

入れ歯は、患者さんのお口に合わせてカスタマイズされたオーダーメイド品です。
まず初めに、患者さんのお悩みやご希望をうかがいます。その後に行われる精密検査結果にもとづいて、入れ歯の種類、使用素材、治療プランについて詳細にご説明いたします。

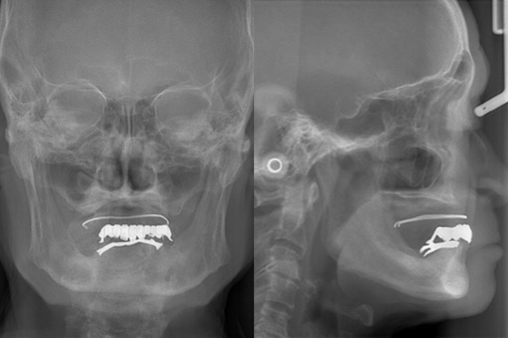
精密検査

  • ■顔貌検査

    兵庫県南あわじ市・医療法人 太田歯科・矯正歯科
  • ■顎関節検査

    兵庫県南あわじ市・医療法人 太田歯科・矯正歯科
  • ■顎運動検査

    兵庫県南あわじ市・医療法人 太田歯科・矯正歯科
  • ■咀嚼機能検査

    兵庫県南あわじ市・医療法人 太田歯科・矯正歯科

当院では義歯作製の一環として、顔貌検査、顎関節検査、顎運動検査、咀嚼機能検査等を取り入れています。

初期治療

兵庫県南あわじ市・医療法人 太田歯科・矯正歯科

どんなにいい入れ歯を作っても、お口が健康でなければ、その機能を十分に発揮することはできません。入れ歯を長期間にわたって快適にご使用いただくためには、残っている歯や歯ぐきの健康状態が整っていることが大切です。入れ歯の作製を始める前に、まずはお口の環境を整える「初期治療」を行います。

治療用義歯

  • 兵庫県南あわじ市・医療法人 太田歯科・矯正歯科
  • 兵庫県南あわじ市・医療法人 太田歯科・矯正歯科
  • 兵庫県南あわじ市・医療法人 太田歯科・矯正歯科

必要に応じて、治療用の義歯を作製し、アゴの機能回復(リハビリ)を行います。

型取り

  • 兵庫県南あわじ市・医療法人 太田歯科・矯正歯科
  • 兵庫県南あわじ市・医療法人 太田歯科・矯正歯科
  • 兵庫県南あわじ市・医療法人 太田歯科・矯正歯科
  • 兵庫県南あわじ市・医療法人 太田歯科・矯正歯科

お口にぴったり合った入れ歯を作製するために、型取りを行います。
精密な型取りを行い、模型を作製します。

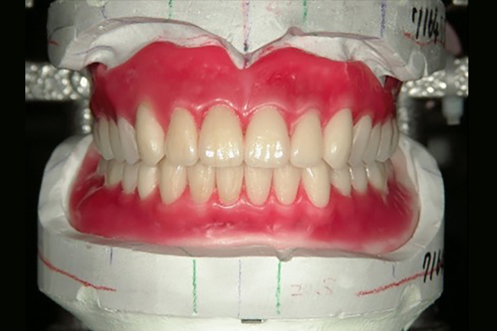
かみ合わせの調整

  • 兵庫県南あわじ市・医療法人 太田歯科・矯正歯科
  • 兵庫県南あわじ市・医療法人 太田歯科・矯正歯科
  • 兵庫県南あわじ市・医療法人 太田歯科・矯正歯科

上下のアゴのかみ合わせを記録した後は、しっかり咀嚼ができるよう人工の歯を並べます。歯の見え方、歯の角度、歯の色などにも注意して作製します。

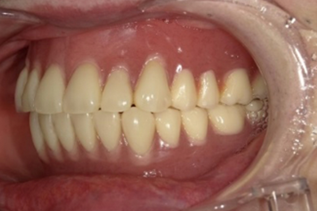
入れ歯の試適

  • 兵庫県南あわじ市・医療法人 太田歯科・矯正歯科
  • 兵庫県南あわじ市・医療法人 太田歯科・矯正歯科

完成前に入れ歯の適合試験を行います。
入れ歯が安定しているか、装着した際のお顔の表情・口元に歪が生じないかなど、生体と調和しているかどうかを確認します。

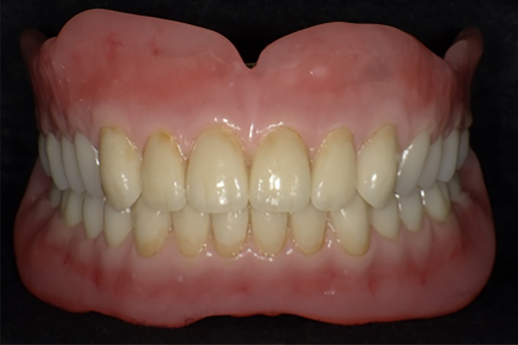
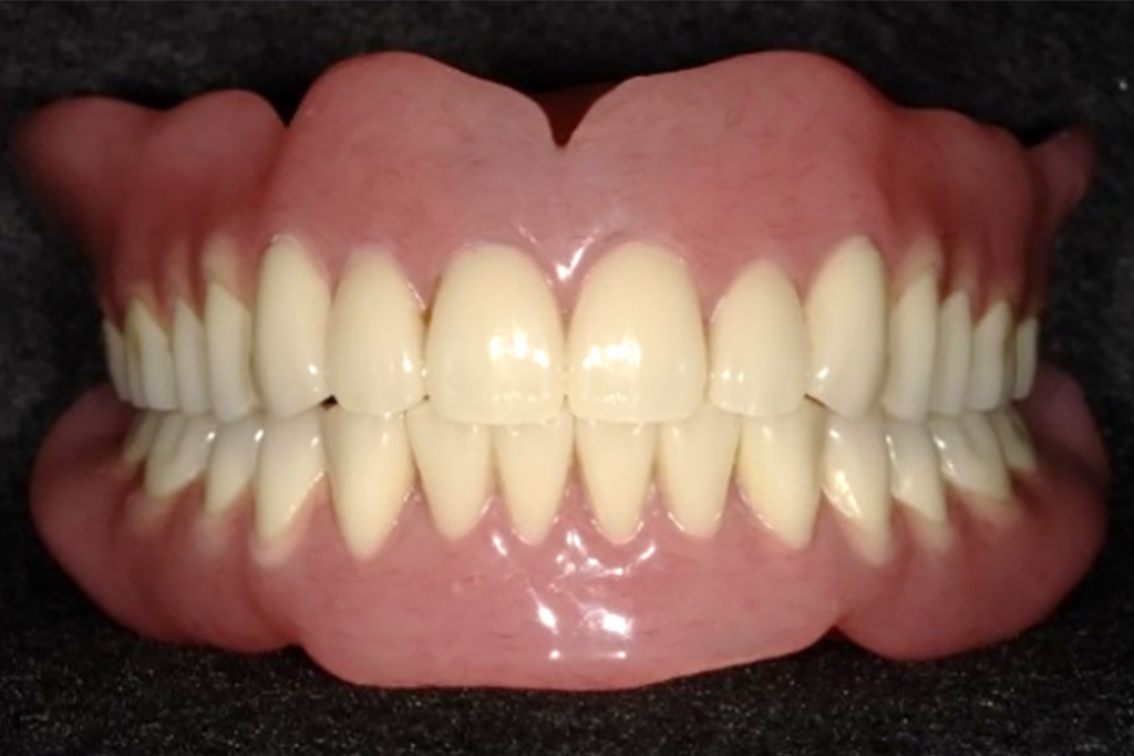
入れ歯(義歯)の完成・調整

兵庫県南あわじ市・医療法人 太田歯科・矯正歯科

入れ歯が完成した後は、実際に使用して調整を行います。
ご自身でもかみ合わせや見た目をご確認いただきながら、入れ歯を快適に使用できるようにしていきます。

メンテナンス

兵庫県南あわじ市・医療法人 太田歯科・矯正歯科

調整後し問題がなければ定期検診へと移ります。
入れ歯は日常的に使用するもので、時間が経つと入れ歯自体やお口の状態に変化が生じます。3~6ヶ月を目安に、ご来院をおすすめしていますが、もしも気になることがあれば、定期検診を待たずにご来院ください。
定期的なメンテナンスによって、快適にお過ごしいただけるよう、お口の健康をサポートしてまいります。

料⾦表

通常は保険診療の範囲内で入れ歯を作製できます。
より快適な義歯を希望される場合には、保険診療では使用できない材質を用いて保険外の義歯を作製することができます。
また、困難と予想される症例においては、様々な検査機器を用いて総合的な診断を行います。その場合には下記の費用が生じることがあります。

治療内容 費用
(税込)
総合診断
(顔貌・CT)
- - 8,000円
機能検査 - 咀嚼機能検査
(グミ)
500円
- 顎運動検査 1,000円
- 舌圧測定 500円
金属床義歯 兵庫県南あわじ市・医療法人 太田歯科・矯正歯科 3歯以内 200,000円
4~7歯 250,000円
8歯以上 300,000円
ノンクラスプ 兵庫県南あわじ市・医療法人 太田歯科・矯正歯科 3歯以内 150,000円
4~7歯 200,000円
8歯以上 250,000円
金属床+
ノンクラスプ
兵庫県南あわじ市・医療法人 太田歯科・矯正歯科 3歯以内 -
4~7歯 300,000円
8歯以上 350,000円
審美加工 兵庫県南あわじ市・医療法人 太田歯科・矯正歯科 3歯以内 +30,000円
4~7歯 +40,000円
8歯以上 +50,000円
人工歯 - 陶材(前歯) 10,000円
陶材(臼歯) 10,000円
- メタル
(臼歯)
50,000円
磁性アタッチ
メント
(1歯)
兵庫県南あわじ市・医療法人 太田歯科・矯正歯科 - 50,000円
プラスチック
義歯
兵庫県南あわじ市・医療法人 太田歯科・矯正歯科 - 保険適応